科学轻断食得这么做
2026-04-13 17:25:19 · chineseheadlinenews.com · 来源: 梅斯医学MedSci
这几年,要说哪种“养生大法”最容易在打工人、减肥党和熬夜人之间形成“跨圈层共识”,“16+8轻断食”绝对算得上头部选手。
它的实操方法也确实很“讨喜”:不用餐餐盯着热量表,只需要把吃饭这件事压缩进8小时内,剩下连续16小时保持空腹(可以喝水)。听起来,既不像节食那么痛苦,也比“顿顿水煮菜”更容易坚持。
事实上,这套看似很“新”的养生法,骨子里一点也不新。
无论是古代医学里“少食以养”的朴素经验,还是许多修行传统中“节食、控食”的做法,本质上都在传递一个相似的信号----吃少一点、空一会儿,未必是亏待自己,反而可能是在给身体一次喘息和重整秩序的机会。
16小时轻断食+免疫治疗,
抗癌效果被进一步“放大”
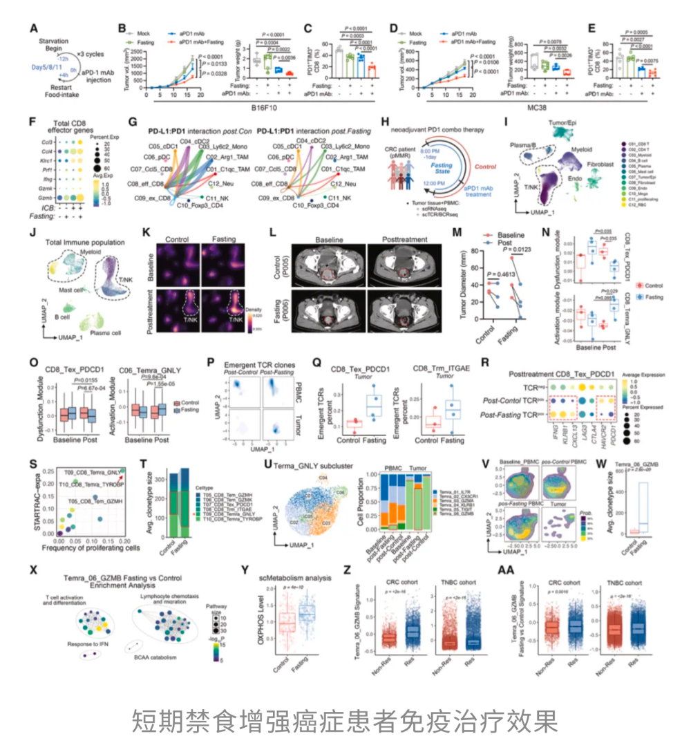
近期,来自浙江大学的研究团队发表于Cell子刊Cell Metabolism的一项研究[1]发现,“空一会儿肚子”可能不只是让脂肪更难囤、让裤腰更松一点,它甚至有可能在关键时刻,帮免疫细胞抢回“战场”。短短16小时的禁食,足以诱导异亮氨酸这种必需氨基酸在肿瘤局部积累,进而给CD8?T细胞加满“战斗值”,增强它们杀伤癌细胞的能力,并显著放大癌症免疫治疗的效果。

他们发现,经过这段短期禁食后,肿瘤中的CD8?T细胞像是被重新“充了电”,抗肿瘤战斗力明显提升,原本那种疲惫、“打不动”的耗竭倾向减轻了,连γ干扰素(IFN-γ)和颗粒酶B(GZMB)这两类专门用来“清剿”癌细胞的效应分子,也都明显增加。
换句话说,禁食让肿瘤中的免疫细胞重新找回了状态,从“有点蔫”变成了“真能打”。

结果观察到,短期禁食同样能够在人类结直肠癌患者体内重塑肿瘤免疫微环境。CD8?T细胞同样更倾向于走向细胞毒性更强、耗竭程度更低的状态。

那短期禁食,究竟是怎么把肿瘤里的免疫细胞重新“调动起来”的?
研究团队顺着代谢这条线往下挖,他们发现,大约16小时的短期禁食,足以特异性地重塑肿瘤微环境中的代谢状态,让异亮氨酸(Ile)在肿瘤内部明显富集,这正是肿瘤内CD8?T细胞重新恢复战斗力的重要基础。

Ile是人体必需的九种氨基酸之一,属于支链氨基酸家族。在模拟肿瘤内部“捉襟见肘”的营养环境时,研究者进行了一个很直观的对比:一旦在培养基中补充Ile,原本状态低迷的CD8?T细胞,不仅增殖能力恢复了,连杀伤功能也明显增强;而把Ile撤走后,这些细胞很快又变得“提不起劲”,活性和功能双双下滑。
这也意味着,CD8?T细胞想要“打”得动肿瘤,前提之一,就是获取并利用lle。
Ile被CD8?T细胞“吃进去”之后,是怎么把免疫细胞重新“带飞”的呢?
原来,Ile进入T细胞后,会被一步步送入线粒体,经过一连串代谢反应,最终转化为乙酰辅酶A。一方面,乙酰辅酶A能参与线粒体的氧化磷酸化,为T细胞提供充足能量。
另一方面,CD8?T细胞想要真正进入高效杀伤状态,还得把一批关键的效应基因彻底“打开”。这一步,离不开一种重要的表观遗传调控----组蛋白乙酰化。直白来说,就是要在某些关键基因所在的位置贴上“现在可以高效表达”的标签。Ile代谢产生的乙酰辅酶A,正是制造这些“激活标记”的原材料。
不仅如此,乙酰辅酶A还是合成磷脂等膜脂的重要原料。对于CD8?T细胞来说,它们要想精准贴近肿瘤细胞、形成稳定接触,并顺利释放杀伤性效应分子,细胞膜结构必须足够完整、灵活。少了这层“硬件支持”,再强的杀伤程序也很难真正落地。
因此,lle通过提供乙酰辅酶A,同时为CD8+T细胞提供了能量、表观遗传重塑的指令,以及物质合成的原料,把CD8?T细胞从“有心无力”推到“火力全开”的状态,三位一体地撑起它们强大的抗肿瘤能力。

既然短期禁食后,肿瘤中的Ile水平明显升高,而且偏偏又对CD8?T细胞大有好处,那这些Ile,究竟是从哪里“冒出来”的?
研究者进一步进行了代谢通量分析,发现:禁食之后,肿瘤细胞自身对支链氨基酸(包括Ile)的分解利用反而下降了。换句话说,肿瘤细胞自己先不怎么“吃”了,于是Ile才在局部环境中慢慢积了起来。
但这并不意味着肿瘤细胞就此“认命挨饿”。恰恰相反,在断食带来的营养压力下,它们很快切换到了另一套“求生模式”:少碰Ile,多抓谷氨酰胺。对肿瘤细胞来说,谷氨酰胺更能帮它们“保命”,帮助它们维持线粒体代谢和基本生存。
为了高效拿到这份“救命口粮”,肿瘤细胞启动了一场精打细算的氨基酸交换。它们通过细胞膜上的特定转运蛋白,把手里的某些氨基酸“拿出去换”,以换回自己更急需的谷氨酰胺。在这个过程中,Ile就成了那个被拿来“交易”的筹码,被不断释放到肿瘤微环境中。
简而言之,16小时左右的短期禁食,迫使肿瘤细胞为了获取生存必需的谷氨酰胺,不得不进行一种“代谢交易”,将宝贵的lle“拱手相让”给周围的CD8+T细胞。肿瘤细胞原本是想“自救”,结果却在无意中给免疫细胞递了“燃料”。

基于上述发现,研究团队验证了这套“16小时轻断食+免疫治疗”的组合方案的治疗潜力。

换言之,短期禁食可以重塑代谢环境,增强T细胞功能,并进一步放大免疫治疗的效果。

16+8轻断食,怎么一会儿“封神”,
一会儿“翻车”?
不过,这些年一直稳坐饮食圈的“顶流”位置的16+8轻断食,支持者不少,争议声也同样不小。
比如,此前一项由上海交通大学医学院联合哈佛大学开展的研究[2],就让不少“轻断食人”当场破防。研究结果显示,与每天进食时间集中在12-14小时的人相比,每天进食窗口少于8小时的人,心血管死亡风险反而高出了135%。
看到这里,很多人开始嘀咕:“同样是16+8轻断食,怎么有时候被捧上“神坛”,有时候又被认为“翻车”?”
正因为结论时常“打架”,我们才有必要把近年来关于16+8轻断食正负两方面的研究放在一起,重新捋一捋。
近年16+8轻断食正负两方面的研究汇总

不难发现,16+8轻断食的“高光时刻”,大多集中在机制和代谢层面;而它“翻车”的地方,往往在于执行方式出了偏差----比如把它当成了“乱挨饿”,或者不管自己适不适合,都一股脑儿往身上套。
事实上,16+8是一种帮助饮食自律的时间框架。但如果有人一边16+8,一边在8小时进食窗口里奶茶照喝、炸鸡照炫,把原本的宵夜改成“下午茶暴食”,那最后多半只是把“乱吃”从晚上平移到了白天。
说到底,科学的16+8,尽量得让吃饭时间顺着身体的生物钟走。相比于把主餐拖到深夜,更推荐把进食窗口安排在白天和傍晚,比如9:00-17:00、10:00-18:00或11:00-19:00。
而且,对大多数普通成年人来说,比起一上来就死磕16+8,更适合先从12+12或14+10过渡。进入8小时进食窗口后,也别把它当成“饿了半天终于放飞自我”的补偿时段,而是尽量把饭吃得更规整、更有质量:蛋白质、蔬菜、水果和优质碳水该有的都得有。

当然,16+8也不是人人都适合。它更适合那些平时夜宵多、饮食节律混乱、总热量容易失控,或者本身就有控体重、改善代谢需求的成年人。可如果是孕哺期女性、青少年、体重偏低或营养不足者、容易低血糖,以及胃肠功能较差的人,不太适合盲目跟风~
注:研究[1]临床队列样本量偏小,需大样本随机对照试验验证;且未拓展至更多癌种,普适性待验证。